Различают несколько видов мочевых образований по своему химическому составу и происхождению:
- струвиты или фосфаты, образованные солями фосфорной кислоты;
- оксалаты, возникают в результате избытка щавелевой кислоты;
- ураты – соли мочевой кислоты.
Наиболее часто в моче у кошек образуются струвиты. Камнеобразование связано с избытком фосфорной кислоты в организме. Причиной их образования является избыточное количество в рационе животного рыбы и рыбной продукции. Сами струвиты не вызовут у кошки мочекаменной болезни, но в результате наследственной предрасположенности питомца, малоподвижного образа жизни, перенесенных инфекционных заболеваний или избыточного веса они ускорят развитие болезни.
Соли щавелевой кислоты, оксалаты, образуются в результате систематического употребления в пищу кормов, содержащих орехи, семечки и злаки. Поскольку эти продукты в рационе кошки являются большой редкостью, то образование оксалатов происходит нечасто.
Ураты, соли мочевой кислоты, образуются при распаде ядер клеток, освобождении нуклеиновой кислоты и ее преобразовании в мочевую кислоту. Это происходит при избытке в рационе кошки белка животного происхождения или нахождении питомца в зоне в повышенным уровнем радиации.
Причины мочекаменной болезни у кошек
МКБ у котов может развиться под воздействием внешних и внутренних факторов. Мочекаменная болезнь диагностируется у котов от года до шести лет. В силу анатомических особенностей мочевыводящей системы, коты болеют опасным заболеванием чаще, чем кошки. Однако, риск заболеть мочекаменной болезнью у кошки все же есть. Наибольшее количество обращений в ветеринарные клиники с симптомами МКБ происходят в весенний и осенний периоды.
Это происходит по ряду причин:
- в рационе домашних питомцев присутствует большое количество сухого корма низкого качества;
малоподвижный образ жизни домашних кошек, времяпрепровождение которых ограничивается непродолжительными играми и перемещением в пределах городской квартиры;- новые и экзотические породы генетически предрасположены к развитию мочекаменной болезни, поскольку большинство из них не могут адаптироваться в новых климатических условиях;
- неблагополучная экологическая обстановка и загрязнение окружающей среды, оказывающее воздействие на домашних животных;
- имеющиеся инфекции мочевыводящей системы, которые перешли в хроническую стадию.
Большинство владельцев котов полагают, что мочекаменной болезнью могут заболеть только кастрированные животные. Но это не так, стерилизация станет причиной заболевания в случае, если ее провели в слишком раннем возрасте и выделительная система кота полностью не успела сформироваться.
На развитие мочекаменной болезни у котов оказывает воздействие слишком жаркий или холодный климат, при котором у животных может произойти учащение или сокращение позывов. При высокой температуре первичная моча у котов образуется очень редко и в небольшом количестве, поэтому она выводится из организма в сильно концентрированном виде. Выпитая котом вода не оказывает влияния на организм животного, происходит повышение уровня солей в организме и понижение кислотности. Камни образуются из скопившихся кристаллов соли.
От количества потребленного кошкой белка, зависит содержание в организме животного карбамида. При его избытке происходит нарушение метаболизма. Для профилактики мочекаменной болезни у котов следует снизить содержание богатой протеинами пищи. В этом случае следует соблюдать разумный баланс, поскольку вегетарианская диета или большое количество молока может привести к щелочной форме МКБ.
В рационе животного должно присутствовать разумное количество продуктов, богатых витамином А: растительного масла, сырой и отварной моркови. Очень часто дефицит этого витамина приводит к нарушению работы печени и образованию мочевого песка в почках и мочеточниках.
Развитие мочекаменной болезни у кота может быть связано избыточной выработкой паратиреоидного гормона, что приведен к повышению содержания в крови и моче кальция.
Особенностью строения мочевыводящей системы кота является изогнутая форма уретрального канала, который изменяет свое положение перед костью пениса. На изгибе происходит задержка и скопление мочи. При стерилизации в раннем возрасте уретральный канал не успевает полностью развиться и сохраняет небольшой диаметр трубки.
Такие патологические состояния желудочно-кишечного тракта, как гастрит или колит могут привести к нарушению кислотно-щелочного баланса, что. в свою очередь, приводит сокращению выведения избытка кальция из организма.
Инфекционное поражение мочевыделительной системы, вызванное патогенными микроорганизмами, проникшими из кишечника, половых органов или уретры.
Инфекционное заболевание может возникнуть также в результате задержки мочи в организме, которая связана с наличием конкрементов.
Мочекаменная болезнь у котов симптомы
Признаками мочекаменной болезни у кота являются:
- затрудненное мочеиспускание, при котором кот долго сидит в лотке, моча выходит медленно, слабой струей или капельками с кровяными вкраплениями;
- присутствующий в моче песок;
- во время мочеиспускания кот испытывает боль, поэтому мяукает;
- частые позывы к мочеиспусканию;
- ухудшение аппетита, рвота, судороги, дрожание, поверхностное дыхание.
Диагностика
При первых симптомах мочекаменной болезни у кошки следует незамедлительно обратиться к ветеринарному врачу, который проведет биохимическое исследование мочи, в ходе которого будет установлен уровень мочевой кислоты, наличие оксалатов, содержание кальция, натрия и магния. Эти показатели помогают установить вид конкрементов в мочевыводящей системе животного.
Ультразвуковое исследование мочевого пузыря и почек поможет определить размер камней и наличие песка в почках и мочевом пузыре.
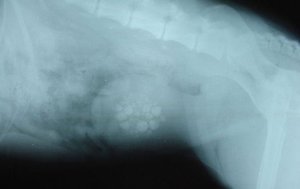
При необходимости может быть проведено рентгенографическое обследование и компьютерная томография, которые подтвердят признаки заболевания.
Лечение
Лечение мочекаменной болезни у котов в домашних условиях возможно только после консультации со специалистом и проведения полной диагностики.
Для лечения МКБ применяют консервативное и оперативное лечение. Хирургическое вмешательство поможет избавить животное от камней и навсегда решить проблему заболевания.
Если при затрудненном мочеиспускании не удается опорожнить мочевой пузырь при помощи катетера, прибегают к операции, в ходе которой вскрывают поврежденный орган и очищают его. После этого вставляется трубка, через которую происходит удаление жидкости. Трубку удаляют при появлении признаков улучшения состояния животного. Операцию проводят под общи наркозом, восстановительный период проходит в течение 14-30 дней.
Консервативное лечение МКБ проводится с использованием лекарственных препаратов, снимающих спазмы и болевой синдром. Также оно направлено на снижение воспалительного процесса и подавление инфекции в организме животного.
В случае, если в мочевом пузыре кота обнаружены конкременты небольшого размера, для лечения применяют спазмолитические препараты, антибиотики и иммунномодулирующие препараты. Животному назначается специальная лечебная диета.
Профилактика
Основной целью профилактических мероприятий является недопущение повторения болезни. Специалисты советуют придерживаться следующих рекомендаций:
- животное должно иметь постоянный доступ к воде. Коты много пьют. Это необходимо для повышения суточного диуреза. Кроме воды, можно давать отвар аптечной ромашки, которая эффективно снимает воспаление.
рацион котов, склонных к избыточному весу, должен быть низкокалорийным;- при нарушении стула у кошки следует использовать слабительные средства, которые помогут быстро решить проблему;
- не допускать переохлаждения питомца. Животное не должно находиться на сквозняке во время проветривания помещения;
- строгое соблюдение лечебной диеты, подобранной в зависимости от типа конкрементов.
Ветеринарные врачи не рекомендуют кормить питомца однообразной пищей. Рацион должен быть разнообразным и сбалансированным. Для питья лучше использовать бутилированную или не жесткую воду. Исключить из рациона питания субпродукты, молоко и творог. Разрешено употребление свеклы, цветной капусты, пропаренного риса, каш из различных круп, небольшого количества отварной рыбы.
